
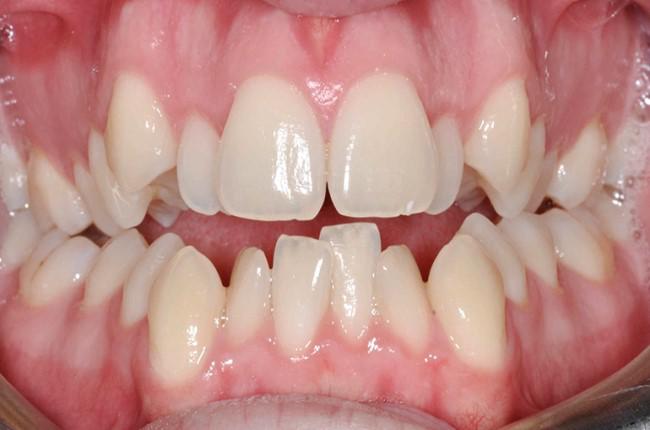
El apiñamiento dental es una situación habitual en muchos pacientes de clínicas dentales que consiste en un problema de posicionamiento y alineación de los dientes cuando no hay suficiente espacio para albergar todas las piezas dentales en la encía. Existe apiñamiento dental cuando se observan dientes amontonados o montados entre sí, dientes mal alineados o dientes que no ocupan la posición que deberían ocupar de forma natural.
Causas del apiñamiento dental
El apiñamiento dental tiene su causa más común en el desarrollo de la dentadura durante la infancia y a factores genéticos que hacen a una persona más propensa a sufrir este hecho. Por ello es tan importante que los niños acudan con freucencia al odontopediatra y al ortodoncistapara prevenir o tratar cualquier mal hábito o condición que pueda derivar en apiñamiento dental por falta de espacio.
Otra de las causa de un apiñamiento dental se encuentra en personas que han sido tratadas con ortodoncia, y que no han realizado el correcto mantenimiento posterior, puesto que algunas piezas dentales tienden a volver a su lugar natural ya ocupado, y por lo tanto se genera un apiñamiento dental. En estos casos se llama apiñamiento por recidiva.
La muela del juicio es también otro de los motivos que pueden provocar apiñamiento dental, ya que surge cuando la práctica totalidad de la dentadura está formada, y si en la encía no hay espacio para la muela del juicio, esta puede desplazar algunas piezas dentales o simplemente erupcionar en una posición inadecuada.
Consecuencias del apiñamiento dental y soluciones
El apiñamiento dental provoca problemas de higiene dental, puesto que quedan zonas de difícil acceso para un cepillo de dientes u otros, lo cual, a su vez genera que las bacterias se acumulen y produzcan inflamaciones de encía y problemas periodontales.
Por supuesto, también provoca problemas estéticos, que además irán a peor a medida que el apiñamiento evolucione, puesto que al no tener una alineación y posición correcta, las cargas en la masticación o el bruxismo, no se reparten entre los dientes contiguos de la misma forma o con la misma intensidad, dando lugar a desplazamientos dentales y otros problemas más graves.
Y también afecta a la mandíbula y todo el sistema óseo de nuestra boca, puesto que no hay un correcto encaje al cerrar la boca, y se ejercen presiones que afectan a la tensión mandibular, provocando a la larga dolor y malestar.
Las diferentes soluciones para tratar el problema del apiñamiento dental dependerán del caso concreto del paciente, siendo éste explorado minuciosamente por su dentista de confianza, el cual optará por una opción u otra.
La mayoría de casos de apiñamiento dental se solucionan mediante un tratamiento de ortodoncia, normalmente con retenedores, que ayuden a recomponer la estructura dental de una forma estéticamente correcta y bucalmente saludable.
Si bien es cierto que en situaciones de erupción dental en posiciones erróneas y conflictivas, y que no son tratadas a tiempo, puede que la única solución posible sea la extracción dental para evitar un mayor deterioro.
En Clínica Dental Alberto Romero contamos con la experiencia y tratamientos necesarios para resolver todos los casos de apiñamiento dental.





