
El sarro dental es el resultado de una acumulación bacteriana en nuestra cavidad oral. No solo amenaza la estética de nuestra boca, sino que su formación puede ser la causante de distintas afecciones bucales. Desde Clínica Dental Alberto Romero, en Ourense, queremos aprovechar este artículo para que conozcas por qué se forma, sus consecuencias y cómo prevenirlo..
¿Qué es la placa bacteriana y qué consecuencias tiene en nuestra salud dental?
La placa bacteriana, llamada también biofilm dental, es una película transparente de un grosor muy fino sobre la cual se depositan las bacterias que anidan en nuestra boca. Su presencia en la cavidad oral se remite a edades muy tempranas, siendo su formación inevitable cada vez que realizamos la ingesta de algún alimento o bebida.
Para eliminar la placa bacteriana, es clave de tener unas buenas rutinas de higiene oral. En caso de no erradicar el cúmulo de placa de nuestros dientes y encías de una manera efectiva, se calcifica y se produce la formación de sarro.
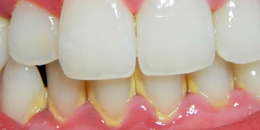
De color amarillento -o marrón en casos de acumulación más severos-, el sarro es una sustancia dura y más difícil de eliminar que la placa bacteriana. Su superficie es rugosa en comparación con la de los dientes. Por este motivo, favorece la adhesión de placa y acelera el proceso de acumulación de la misma en dientes y encías.
Tipos de sarro dental
Podemos distinguir dos tipos de sarro en función de la zona en la que se ha acumulado:
- Sarro supragingival cuando su presencia se limita a la superficie de los dientes y de las encías.
- Sarro subgingival cuando se acumule por debajo de la línea de la encía, formando bolsas periodontales. El sarro subgingival no es tan fácil de percibir como el primero, ya que no se aprecia a simple vista, y su acumulación tiene un riesgo elevado para la salud de nuestra boca.
Consecuencias del sarro dental en nuestra salud oral
- La existencia de sarro en nuestra boca tiene una evidente consecuencia estética: su presencia en nuestros dientes y encías afecta negativamente al blanco de la sonrisa.
- Pero además, la acumulación de sarro es la responsable de dos de las afecciones dentales más comunes.
- Enfermedades periodontales. Las enfermedades periodontales son un conjunto de afecciones infecciosas provocadas por los agentes patógenos presentes en nuestra boca: las bacterias periodontales.
- Caries dentales.
- Mal aliento
¿Cómo eliminar el sarro dental?
A diferencia de la placa bacteriana, el sarro no se puede eliminar con el cepillado dental. Para ello, deberemos acudir a un higienista dental cualificado para que lleve a cabo una limpieza en clínica.
- Profilaxis dental profesional. Por muy bien que nos cepillemos los dientes tras cada comida y hagamos uso de la seda dental, siempre quedan pequeños restos de placa. De manera paulatina, se van acumulando y acaban evolucionando en la formación de sarro. También conocida como higiene dental profesional, la profilaxis es un tratamiento que consiste en la eliminación de las bacterias que se acumulan en nuestros dientes y encías.
- Realízate una higiene al año. Aunque tengas una buena salud oral, es necesario acudir al dentista al menos una vez al año para realizar una profilaxis dental.
- Raspado o alisado radicular. También conocido como curetaje dental, es un procedimiento que se realiza en clínica para el tratamiento de la periodontitis. Consiste en el desbridamiento de todas las bacterias causantes de la enfermedad periodontal, el acúmulo de sarro y placa que se encuentra tanto por encima como por debajo de la línea de la encía.
¿Cómo prevenir el sarro en los dientes?
- Mantener una buena higiene bucal. Es imprescindible realizar un cepillado exhaustivo -al menos durante un tiempo de 2 minutos- tras cada comida. Para ello, emplea un cepillo de cerdas suaves o medias que no dañen las encías. Es preferible seguir una técnica correcta, y no importa si prefieres un cepillo eléctrico o manual. Con un simple cepillado no conseguiremos retirar todas las bacterias y los restos de comida que encontramos entre los dientes y en las encías. Por ello, conviene usar hilo dental o cepillos interproximales, así como un enjuague bucal para reforzar la eficacia de la limpieza oral. No debemos olvidarnos de la lengua en nuestras rutinas de higiene oral.
- Acuade a tu dentista de forma periódica. La higiene dental profesional está indicada cada 4 o 6 meses en pacientes con enfermedad periodontal, y cada 8 o 10 meses en el resto de pacientes.





