
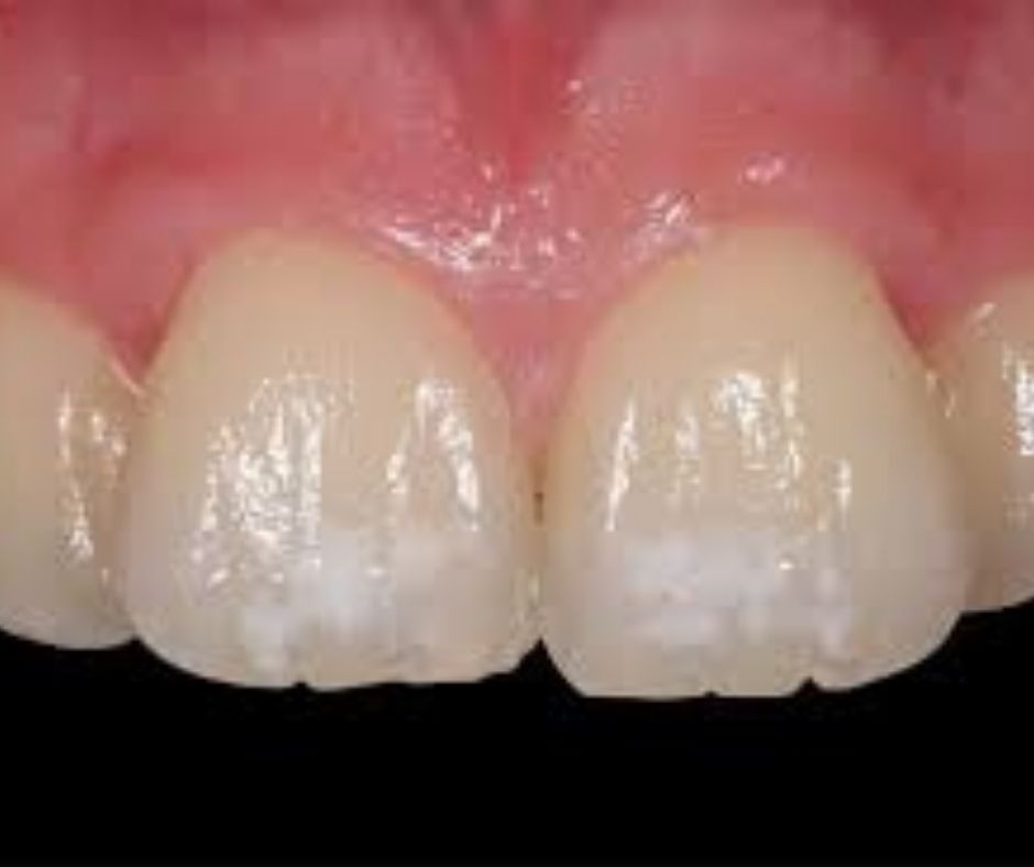
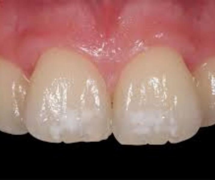
La hipoplasia dental es una enfermedad que afecta a los dientes y se manifiesta con un deterioro de la capa de esmalte. La primera consecuencia es que el diente queda desprotegido y con un color diferente con manchas blancas, amarillentas o marrones. También pueden aparecer pequeñas cavidades.
El esmalte es la capa más externa de la corona de los dientes, y es el tejido más duro del cuerpo humano, por lo tanto es una capa muy importante en los dientes con una importante función protectora.
¿Qué provoca la hipoplasia dental y cuáles son sus consecuencias?
Esta alteración aparece durante la formación del diente y puede ser causada por una enfermedad, fiebre, o un déficit de nutrición.
Además de las consecuencias expuestas al inicio de este artículo, desde Clínica Dental Alberto Romero, en Ourense, queremos insistir en que la mayoría de las consecuencias están relacionadas conl a debilidad que provoca la pérdida del esmalte. Y ello se traduce en más posibiliades de padecer caries y que alguna pieza dental se fracture.
Tratamientos frente a la hipoplasia
El objetivo de los tratamietnos de hipoplasia dentall van dirigidos a mejorar la protección del diente.
- Como medida preventiva podemos realizar un sellado de las fisuras del diente para reducir la posibilidad de caries.
- Se deben tratar, también, las pequeñas cavidades que hay en el diente obturándolas para reducir la posibilidad de caries.
- En casos severos puede ser conveniente y necesario realizar incrustaciones; pequeñas reconstrucciones del diente de cerámica o de composite para recuperar la parte del diente perdida, y en casos excepcionales y de gran pérdida de la masa dental, se pueden colocar coronas de cerámica.
- Estéticamente para eliminar estos cambios de color se han de hacer coberturas de composite, o carillas de composite en sector anterior, o también carillas de cerámica para tapar estos cambios de coloración.
En cualquier caso, y como siempre insistimos desde Clínica Dntal Alberto Romero, la mejor opción es siempre acudir a tu dentista ante los primeros síntomas y que éste haga una valoración del caso para poder establecer un plan de tratamiento adecuado a las necesidades del paciente.





